Algodistrofia (o Morbo di Sudek)

COS’È L’ALGODISTROFIA (O MORBO DI SUDEK)?

L’algodistrofia (o Morbo di Sudek) è una patologia caratterizzata da intensa sintomatologia dolorosa che solitamente interessa l’estremità degli arti superiori o inferiori ma più spesso colpisce il piede. L’origine è sconosciuta ma spesso insorge dopo un trauma, un intervento chirurgico, una immobilizzazione gessata. Essendo il piede ricco di terminazioni sensitive, gli stimoli dolorosi e l’immobilità inviano segnali anomali al cervello che determinano un’alterazione della funzione neuro-vascolare periferica ed aumento del tono simpatico. L’aumento del tono simpatico provoca un rinforzo venoso periferico ed una cattiva ossigenazione dei tessuti.

 
 

Sintomatologia

algodistrofia_morbo_di_sudek.jpg

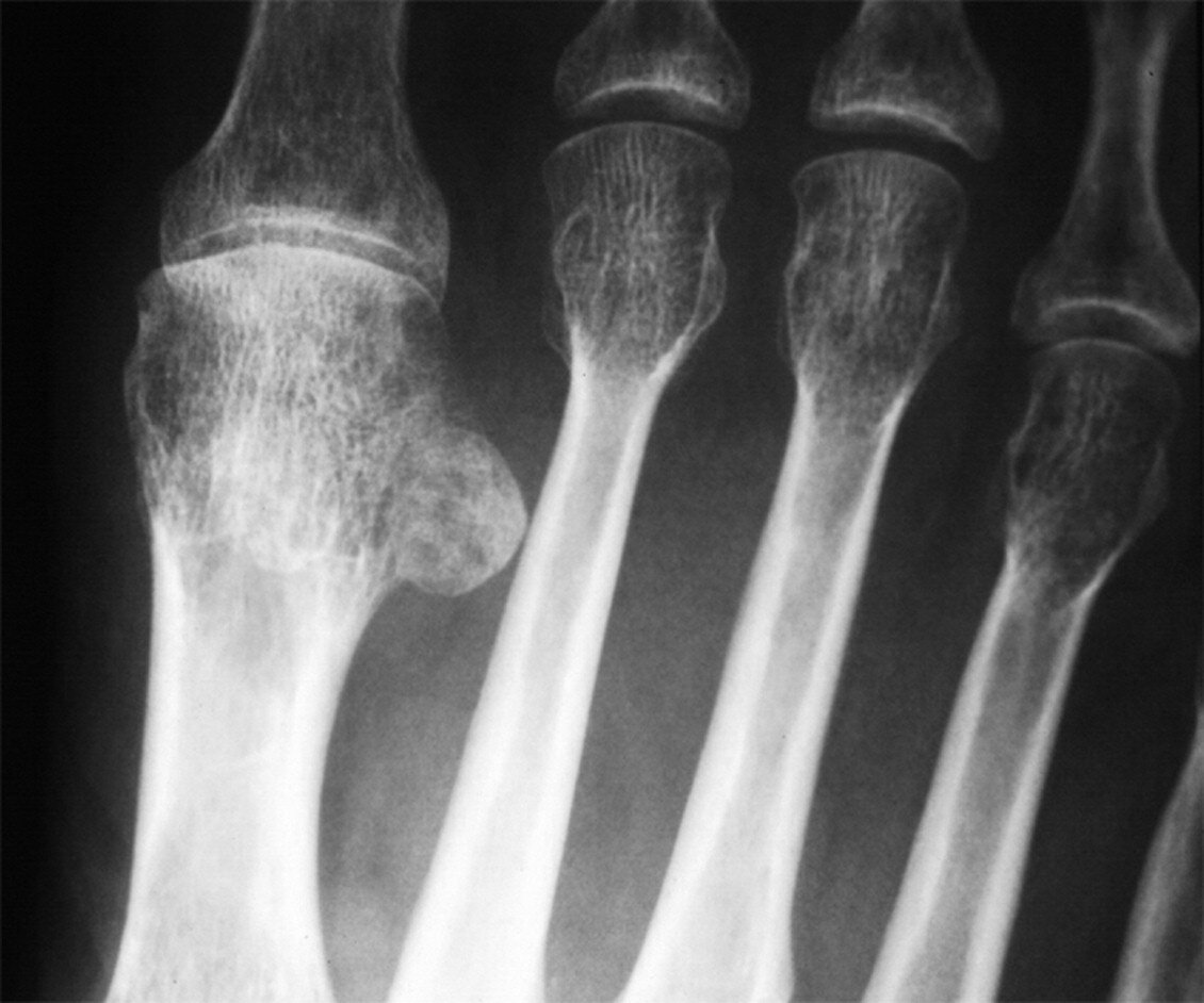
Il piede solitamente è gonfio ed il dolore e continuo, di tipo urente e aggravato dal carico. Concomitano iperalgesia e rigidità articolare; la cute appare secca iperidrosica ed eritematosa. Radiograficamente è presente osteoporosi loco-regionale (è interessato solo il piede) su base neurovascolare.

 

Trattamenti

 

Trattamento conservativo

Il trattamento farmacologico prevede l’utilizzo di bifosfonati ed antinfiammatori per alleviare il dolore in associazione alla fisioterapia.

Trattamento chirurgico

Se il trattamento farmacologico fallisce, altre forme di trattamento sono il blocco del sistema nervoso simpatico mediante iniezione di anestetico in prossimità del midollo spinale allo scopo di bloccare l’attività di uno o più nervi del sistema nervoso simpatico oppure la neurostimolazione del midollo spinale attraverso alcuni elettrodi installati sulla colonna vertebrale, per ridurre l’attività simpatica. In caso di fallimento di queste forme di trattamento alternative, si può eseguire la simpatectomia al fine di rimuovere chirurgicamente una struttura del sistema nervoso simpatico.

 

Hai bisogno di
un consulto?

Chiama ora
 
Senza-titolo-j4.png